
Foto: X (@GWR)
Advertisement
Malaysia sekali lagi mencuri perhatian dunia apabila seorang lelaki tempatan mencipta rekod luar biasa berkaitan… gigi!
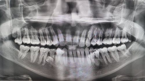
Prathab Muniandy dari Malaysia secara rasmi memegang rekod dunia bagi jumlah gigi terbanyak dalam mulut seorang lelaki, dengan jumlah keseluruhan 42 batang gigi iaitu 10 batang lebih banyak daripada jumlah gigi manusia biasa.
Untuk pengetahuan, kebanyakan orang dewasa hanya mempunyai 32 batang gigi, termasuk gigi geraham bongsu. Namun bagi Prathab, keadaan unik pada rahangnya menyebabkan beliau mempunyai 42 batang gigi yang tumbuh secara semula jadi.
Keadaan ini dikenali dalam dunia perubatan sebagai hyperdontia, iaitu situasi di mana seseorang mempunyai gigi tambahan melebihi jumlah normal.
Menurut laporan, doktor yang memeriksa mulut Prathab pada awalnya turut terkejut dengan jumlah gigi yang luar biasa tersebut. Selepas pemeriksaan dan pengiraan dibuat, jumlahnya disahkan mencecah 42 batang gigi menjadikannya pemegang rekod dunia bagi kategori lelaki.

Menariknya, walaupun mempunyai gigi tambahan, keadaan tersebut tidak semestinya menyebabkan kesakitan atau masalah besar jika susunan gigi masih terkawal.
Kes seperti ini sangat jarang berlaku. Hyperdontia biasanya hanya melibatkan satu atau dua gigi tambahan, tetapi mempunyai 10 batang gigi ekstra seperti Prathab memang luar biasa.
Rekod ini sekali lagi membuktikan bahawa tubuh manusia penuh dengan keunikan yang kadang-kadang sukar dijangka.
Siapa sangka, bilangan gigi boleh membawa seseorang ke dalam rekod dunia.